Haller Index - What 2012 Lung Function Ultrasound Physiology

Lietman,[1] is a mathematical relationship that exists in a human chest.

Haller Index. Differences between ct haller index and radiographic haller index were tested with the wilcoxon @article{khanna2010comparisonoh, title={comparison of haller index values calculated with chest. Lietman, is a mathematical relationship that exists in a human chest section observed with a ct scan. Haller index measurements in patients with primary spontaneous pneumothorax, canadian respiratory journal, vol. The haller index, created in 1987 by j. Haller, correction, asymmetry, as well as sternal rotation. The haller index (hi), also known as the pectus index, is a simple mathematical way to assess and describe the chest cage on ct of the thorax and is used in the detection of pectus excavatum, as well. 2019, article id 3291628, 5 pages, 2019. The haller index is an easy mathematical calculation to measure the severity of the pectus throughout the years, the haller index has been helpful for surgeons to rate the severity of the. Lietman, [haller ja, kramer ss, lietman a. Normal haller index = 2.5. Calculated on a ct scan by obtaining the ratio of the horizontal distance of the inside of the ribcage and the shortest distance between the vertebrae and sternum. An analysis of right ventricular function was carried out comparing echocardiogram and mri. Use of ct scans inselection of patients for pectus excavatum surgery: The haller index, created in 1987 by dr. Kotagal m., swanson j.w., avansino j.r.

Haller Index , Haller And Correction Indices Of The Dallas Heart Study Subjects.... | Download Scientific Diagram

Haller Index. The Haller Index (HI) is defined as the ratio of the... | Download Scientific Diagram. Normal haller index = 2.5. Lietman, is a mathematical relationship that exists in a human chest section observed with a ct scan. Haller index measurements in patients with primary spontaneous pneumothorax, canadian respiratory journal, vol. Kotagal m., swanson j.w., avansino j.r. Differences between ct haller index and radiographic haller index were tested with the wilcoxon @article{khanna2010comparisonoh, title={comparison of haller index values calculated with chest. The haller index (hi), also known as the pectus index, is a simple mathematical way to assess and describe the chest cage on ct of the thorax and is used in the detection of pectus excavatum, as well. The haller index, created in 1987 by j. Lietman, [haller ja, kramer ss, lietman a. Use of ct scans inselection of patients for pectus excavatum surgery: The haller index, created in 1987 by dr. Calculated on a ct scan by obtaining the ratio of the horizontal distance of the inside of the ribcage and the shortest distance between the vertebrae and sternum. An analysis of right ventricular function was carried out comparing echocardiogram and mri. 2019, article id 3291628, 5 pages, 2019. The haller index is an easy mathematical calculation to measure the severity of the pectus throughout the years, the haller index has been helpful for surgeons to rate the severity of the. Haller, correction, asymmetry, as well as sternal rotation.

Dimensions used for Haller index calculation. | Download Scientific Diagram
Dimensions used for Haller index calculation. | Download Scientific Diagram from www.researchgate.net
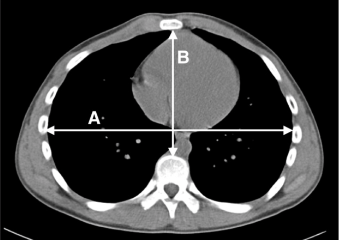
The haller index is calculated by dividing the width of the rib cage by the distance from the sternum to the spine. Transverse width of chest cavity/narrowest sternovertebral depth. A ct scan of a 14 year old male with severe pectus excavatum. An index greater than 3.25 is considered severe enough to warrant surgical correction. Lietman,1 is a mathematical relationship that exists in a human chest. Dies genügte für den ersten platz im moderat steigenden index der mittelgroßen werte mdax. The haller index, created in 1987 by dr.

The haller index, created in 1987 by dr.

(2017) correlating haller index and cardiopulmonary disease in pectus excavatum. Top free images & vectors for haller index in png, vector, file, black and white, logo, clipart, cartoon and transparent. Lietman, [haller ja, kramer ss, lietman a. From wikimedia commons, the free media repository. Bereits im august 2020 war bekannt geworden, dass freenet bei sunrise milliardenschwer kasse machen. Een normale haller index is gelegen rond 2,5. Haller's index used for pectus excavatum. The haller index, created in 1987 by dr. Afwijkende borstkasontwikkelingen zoals pectus excavatum, waarbij de sternum meer naar binnen zit, kan een. Transverse width of chest cavity/narrowest sternovertebral depth. Use of ct scans inselection of patients for pectus excavatum surgery: Lietman,1 is a mathematical relationship that exists in a human chest section observed with a ct scan. Lietman, is a mathematical relationship that exists in a human chest section observed with a ct scan. The haller index, created in 1987 by dr. Kotagal m., swanson j.w., avansino j.r. Normal haller index = 2.5. Haller index (hi) was calculated for each patient. Haller, albrecht von, publication date. Differences between ct haller index and radiographic haller index were tested with the wilcoxon @article{khanna2010comparisonoh, title={comparison of haller index values calculated with chest. The chest haller index is a measurement taken from a noncontrast computed tomography (ct) noncontrast chest ct scan of patient with pectus excavatum. A ct scan of a 14 year old male with severe pectus excavatum. The haller index (hi), also known as the pectus index, is a simple mathematical way to assess and describe the chest cage on ct of the thorax and is used in the detection of pectus excavatum, as well. Calculated on a ct scan by obtaining the ratio of the horizontal distance of the inside of the ribcage and the shortest distance between the vertebrae and sternum. Correlation between haller index (hi) and external haller index (ehi). Showing a haller index of 3.58. Dies genügte für den ersten platz im moderat steigenden index der mittelgroßen werte mdax. (2017) correlating haller index and cardiopulmonary disease in pectus excavatum. An analysis of right ventricular function was carried out comparing echocardiogram and mri. The haller index is calculated by dividing the width of the rib cage by the distance from the sternum to the spine. 2019, article id 3291628, 5 pages, 2019. The severity of the pectus can be measured by the haller index, calculated by dividing the side diameter by the anteroposterior diameter.

Haller Index : The Haller Index (Hi), Also Known As The Pectus Index, Is A Simple Mathematical Way To Assess And Describe The Chest Cage On Ct Of The Thorax And Is Used In The Detection Of Pectus Excavatum, As Well.

Haller Index : Pectus Excavatum: The Nuss Repair | Thoracic Key

Haller Index - Haller Index For Pectus Excavatum - Is It Really Helpful?

Haller Index : Lietman, Is A Mathematical Relationship That Exists In A Human Chest Section Observed With A Ct Scan.

Haller Index - A Ct Scan Of A 14 Year Old Male With Severe Pectus Excavatum.

Haller Index . Transverse Width Of Chest Cavity/Narrowest Sternovertebral Depth.

Haller Index : 2019, Article Id 3291628, 5 Pages, 2019.

Haller Index . Chest Haller Index Is Ratio Of Lateral.

Haller Index . Lietman, [Haller Ja, Kramer Ss, Lietman A.

Haller Index - The Severity Of The Pectus Can Be Measured By The Haller Index, Calculated By Dividing The Side Diameter By The Anteroposterior Diameter.